Extensive cholelithiasis over 10 years in a patient with lymphoma
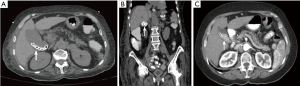
A 73-year-old female with a history of primary biliary cirrhosis, Sjogren syndrome, and hypertension recently presented with nausea, vomiting, and fever. She was found to have panhypopituitary syndrome, and extensive mediastinal and retroperitoneal lymphadenopathy. A lymph node biopsy revealed diffuse large B-cell lymphoma. A CT scan without contrast of the abdomen in January 2015 revealed cholelithiasis but no biliary dilation or gallbladder wall edema (arrows in panel A, horizontal view; and panel B, coronal view). There was no significant abnormality in her liver function tests. A prior CT scan with contrast of the abdomen done in September 2004 also showed cholelithiasis with no biliary dilation (arrow in panel C). Even though the gall bladder was filled with stones over the past 10 years, the patient remained asymptomatic and needed no intervention for the extensive cholelithiasis. This case shows the natural history of extensive incidental cholelithiasis over at least 10 years.
Acknowledgements
None.
Footnote
Conflicts of Interest: The authors have no conflicts of interest to declare.
Cite this article as: Lee E, Mustafa M, Seiter K, Liu D. Extensive cholelithiasis over 10 years in a patient with lymphoma. Stem Cell Investig 2015;2:9.


